Serce jak dzwon – przerost, który nie cieszy

Adaptacja jest procesem, który ma przystosowywać nas do nowych warunków panujących w otoczeniu. To szczególnie istotne w kontekście narządów takich jak serce, które przez długi czas potrafi kompensować zmiany środowiskowe i hemodynamiczne. W przypadku przewlekłego nadciśnienia ta adaptacja przybiera postać stopniowego przerostu mięśnia sercowego, co z początku pozwala utrzymać wydolność układu krążenia. Dochodząc jednak do jej granic, zaczynamy być dysfunkcjonalni. Stajemy przed koniecznością zmiany dotychczasowego postępowania albo staczamy się coraz głębiej w krainę rurkowców. Podobnie jest na poziomie komórkowym, gdzie występowanie stresora prowadzi do powstania zmian przystosowawczych. Bodźce o intensywności przekraczającej możliwości adaptacji prowadzą do uszkodzeń komórek. Szkody łagodne mogą zostać naprawione, ale poważne kończą się martwicą lub apoptozą. Innymi słowy – śmiercią.

 

Hiperplazja i hipertrofia

 

Podstawowymi procesami adaptacyjnymi jest hipertrofia i hiperplazja, które prowadzą do tego samego punktu końcowego – wzrostu tkanki. Różnica polega na sposobie w jaki to osiągają. Hiperplazja poprzez wzrost ilości komórek. Natomiast hipertrofia przez zwiększenie wymiarów komórek. Stosunkowo niewielka liczba tkanek rozwiniętego organizmu ludzkiego ma zdolność do wzrostu poprzez podział należy tu m.in. gruczoł sutkowy, wątroba czy nabłonek endometrium w prawidłowym cyklu miesięcznym. Warto podkreślić, że rozrost jest pod stałą kontrolą, a gdy czynnik wywołujący go ustanie to hiperplazja wycofa się, co odróżnia ją od nowotworzenia.

Proces adaptacji tkanki mięśnia sercowego

 

Jeżeli chcemy wyrzeźbić mięśnie szkieletowe to poddajemy się treningowi, który poprzez obciążenie ma na celu doprowadzić do wzrostu objętości tkanki. W tym przypadku mamy możliwość kontroli. Chce to ćwiczę. Jeżeli nie to delektuje się kolejnym burgerem zalegając na kanapie. Obciążenie serca nie poddaje się tak trywialnej kontroli.

Serce z przerostem lewej komory.
Ryc. A Ryc. B – Obraz makroskopowy serca hipertroficznego. Widać pogrubienie przegrody międzykomorowej i ściany lewej komory.

 

Wśród licznych czynników mogących prowadzić do rozrostu tkanki mięśniowej poprzecznie prążkowanej typu sercowego jest nadciśnienie. Istnieje szereg sposobów redukcji ciśnienia przez zmianę stylu życia lub leki. Niestety czas między rozpoczęciem choroby, a jej wykryciem i wdrożeniem skutecznego leczenia jest różnie długi. Przez cały ten okres w tle toczy się proces patologiczny, który postępuje latami i nie ma obojętnego wpływu na strukturę naczyń jak i serca.

Wzrost ciśnienia będzie zmianą dotychczasowych warunków pracy narządu. Serce zaadoptuje się do nich poprzez przerost, co skompensuje warunki nadciśnienia neutralizując główny problem. Dzieje się tak tylko pozornie. Początkowo, w wyniku adaptacji hipertrofii ulega mięśniówka lewej komory. Staje się wyraźnie grubsza, co widać na zdjęciu A i B. Jeżeli nie odwrócimy procesu patologicznego leżącego u podstawy tych zmian to dojdzie do usztywnienia ściany lewej komory i wtórnego poszerzenia lewego przedsionka. To zdarzenie najczęściej sprawia, że problem pacjenta staje się jawny klinicznie – dochodzi do napadowego migotania przedsionków. Skutkiem jest wysokie prawdopodobieństwo utworzenia materiału zatorowego, który opuszczając serce trafi do naczyń mózgowych dając udar niedokrwienny. Właśnie w ten sposób problem pozornie błahy może przerodzić się w skrajnie poważny. Oczywiście nie zachodzi to w zawrotnym tempie, więc czas na interwencje terapeutyczną jest znaczny. Alternatywnym scenariuszem następstw przerostu mięśnia sercowego jest jego niewydolność, gdyż wielkość serca nie przekłada się na jego jakość.

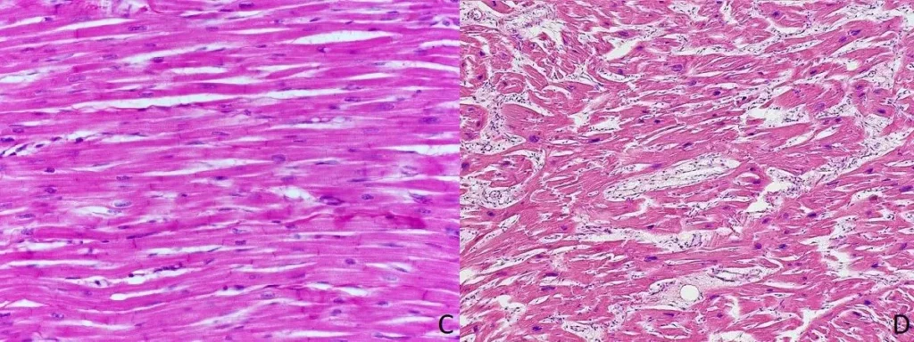
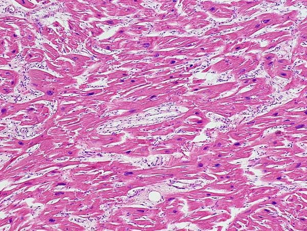
Obraz mikroskopowy mięśnia sercowego z uwidocznionym przerostem.
Ryc. C – prawidłowy obraz histologiczny mięśnia sercowego. Ryc. D – preparat histopatologiczny serca, które uległo hipertrofii. Między włóknami tkanki mięśniowej znajduje się nagromadzenie tkanki włóknistej, której obecność w tym miejscu świadczy o procesie zwyrodnieniowym.

 

Adaptacja jest procesem pozwalającym na przezwyciężenie problemów. Niestety, gdy czynnik uszkadzający trwa zbyt długo nie dochodzi do uzyskania pozytywnych efektów. Dodatkowo, gdy stresor jest silny może dojść do szybko postępujących zmian zwyrodnieniowych wewnątrz włókien w tym do ich fragmentacji i utraty elementów kurczliwych. Serce niekurczące się nie daję możliwości cieszenia się z życia.

Podsumowanie:
  • Adaptacja komórkowa pozwala czasowo utrzymać równowagę w niekorzystnych warunkach, ale ma swoje granice.

  • Nadciśnienie tętnicze to jeden z głównych czynników prowadzących do przerostu mięśnia sercowego, zwłaszcza lewej komory.

  • Hipertrofia serca kompensuje przeciążenie ciśnieniowe, lecz z czasem prowadzi do usztywnienia ściany i upośledzenia funkcji skurczowej i rozkurczowej.

  • Poszerzenie lewego przedsionka może prowadzić do migotania przedsionków i zwiększonego ryzyka udaru mózgu.

  • Zmiany zwyrodnieniowe w mięśniu sercowym (włóknienie, utrata kurczliwości) są nieodwracalne i mogą prowadzić do niewydolności serca.

  • Czas reakcji ma znaczenie – wczesna interwencja (farmakologiczna lub zmiana stylu życia) może zahamować progresję choroby.

  • Nie każdy przerost jest korzystny – serce większe nie znaczy silniejsze.

za zgodą i wsparciem @hitsug

Zostaw komentarz

Twój adres e-mail nie zostanie opublikowany. Wymagane pola są oznaczone *

Koszyk