Krótka przypowieść o… tlenie

Pan lat 55, który wokół siebie zostawia charakterystyczną woń niedomytego ciała i alkoholu, został przywieziony na SOR z powodu duszności. W wywiadzie rzeczy oczywiste: stłuszczenie wątroby, przewlekłe zapalenie trzustki, niedobór masy ciała. Alkoholizm neguje, gdyż pije tylko 8 piw dziennie, a piwo to nie alkohol. W badaniu przedmiotowym cechy niedożywienia, gorączka 38,5 st. C i ściszenie u podstawy płuca lewego. W badaniach dodatkowych CRP – 100, RTG – miąższ płucny bez zagęszczeń.

Lekarz dyżurny postanawia włączyć na podstawie obrazu klinicznego antybiotykoterapie empiryczną, paracetamol i tlen. Pan nieprzestrzegający zasad higieny osobistej dostał osobną salę, gdzie uzyskał należytą opiekę w tym mycie. Niestety był jednym z tych mniej „znośnych” pacjentów, gdyż co chwile krzyczał „siostro d u s z o!”. Z każdym takim krzyknięciem przybiegała pielęgniarka i aby mieć święty spokój podkręcała trochę tlen. Gdy przepływ był duży, a to nie dawało spodziewanego rezultatu, zmieniono wąsy na maskę, lecz pacjent wciąż „miauczał”. Później do maski dołączono rezerwuar. Taki zestaw skutkował zadowoleniem chorego, który przestał krzyczeć, a dodatkowo żył, czyli ideał. Właśnie jak jesteśmy przy życiu, to jego egzystencja nie potrwała zbyt długo, gdyż następnego ranka odkryto zwłoki.

Tlen i jego toksyczne właściwości mogą prowadzić do rozwoju ARDS
Ryc. A – biopsja płuca u pacjenta z ARDS, która pokazuje, że przestrzenie, które powinny być wykorzystywane do wentylacji są wyłączone z tego procesu przez zalegający płyn – obrzęk.
 

Powstaje pytanie, co jest przyczyna śmierci? Zapalenie płuc? Paracetamol? Tlen? Niewydolność krążeniowo-oddechowa? To ostatnie na bank. Problem pojawia się przy ustaleniu szczegółów.

Niewątpliwie domyślacie się, co w tym przypadku zabiło tego pana. Jest to oczywiście tlen. Zwykle jednak to życiodajna substancja nie jest siewcą zniszczenia. Przynajmniej tak nam się powszechnie wydaje. Przejdźmy do procesów patologicznych.

Niewątpliwie w organizmie pacjenta toczyło się kilka patologii. Jedna z nich jest świeża – zapalenie płuc, ale brak uchwycenia zmian w RTG, czy cech septyczności w badaniu przedmiotowych sprawiają, że ten scenariusz jest mniej prawdopodobną przyczyną śmierci. Kolejne patologie wynikają z choroby alkoholowej – przewlekłe zapalenie trzustki czy stłuszczenie wątroby to cechy dość typowe dla nadużywania alkoholu. Warto zwrócić uwagę na fakt, że pacjent został odnaleziony w łóżku bez żadnych spektakularnych zdarzeń typu morze krwi, które sugerowałoby pęknięcie żylaków przełyku. Oczywiście można sprawdzić w badaniu sekcyjnym czy przypadkiem nie było takiej patologii. Może zatruł się paracetamolem? Alkoholizm i paracetamol nie idą ze sobą w parzę. Połączenie dość niebezpieczne, ale 1 g paracetamolu nie dałby tak szybkiej kaskady zdarzeń prowadzącej do zgonu. Zresztą to oznaczałoby potrzebę rozwoju niewydolności wątroby. Pozostaje zatem tlen. Tylko w jaki sposób coś co jest nam potrzebne do życia może zbić? Prześledźmy przebieg zdarzeń.

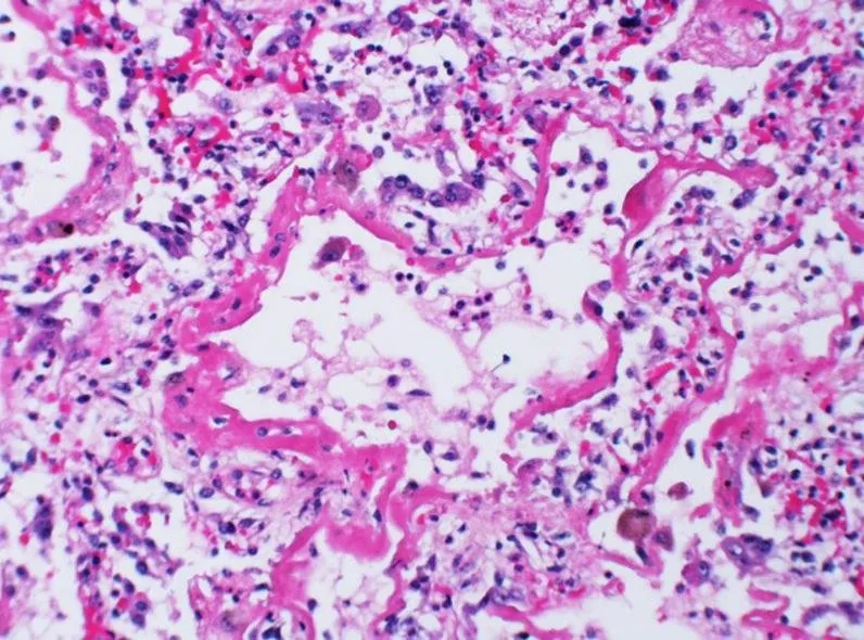
Preparat histologiczny płuca
Ryc. B – na tym preparacie uwidoczniono tworzenie się błon hialinowych, obrzęk i napływ komórek stanu zapalnego. Utworzenie się błon szklistych dodatkowo zwiększa grubość bariery dyfuzyjnej, co utrudnia prowadzenie wymiany gazowej, a w konsekwencji napędza niepożądaną kaskadę zdarzeń.
 

Pacjent dostał tlen w celu neutralizacji duszności. Początkowo otrzymywał go poprzez wąsy, co mogło dać przepływ tlenu maksymalnie 5 l/min. Jest to metoda, która przy zachowanym własnym oddechu może skutecznie korygować większość hipoksji hipoksemicznych. Zgłaszana duszność przez pacjenta skłoniła obsadę pielęgniarską do zmiany wąsów na maskę, co umożliwiło uzyskanie przepływu 10 l/min, a następnie do tego układu dodano rezerwuar, co w połączeniu z wysokim przepływem tlenu nie okazało się być szczęśliwym połączeniem.

Uzyskanie w mieszaninie oddechowej więcej niż 60% czystego tlenu, w krótkim czasie prowadzi do uszkodzenia śluzówki dróg oddechowych oraz śródbłonków drobnych naczyń płucnych. Dodatkowo wysokie stężenie tlenu połączone z różnicą w stężeniach tlenu między włośniczkami a pęcherzykami płucnymi powoduje gwałtowne przechodzenie tlenu do włośniczek, co w konsekwencji prowadzi do zapadania się pęcherzyków i rozwoju niedodmy. Niedodma to właściwie daremna perfuzja określonego miąższu płuc, czyli nie zachodzi w tym fragmencie wymiana gazowa. Skoro nie zachodzi wymiana gazowa to organizm nie ma dostarczanego tlenu dodatkowo dochodzi do retencji dwutlenku węgla. Wzrost stężenia dwutlenku węgla we krwi to prosta droga do rozwinięcia kwasicy oddechowej, co przy braku interwencji z zewnątrz kończy się zgonem. Retencja dwutlenku węgla pogłębiana jest przez maskę, która nie była zaopatrzona w zastawkę Venturiego, co pozwoliło na wykonywanie oddechów zwrotnych.

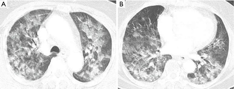
TK płuc u osoby z ARDS, masywne zmiany niedodmowo-zapalne.
Ryc. C – przekrój TK, na którym, aż widać, że coś jest „nie tak”. Miąższ płuca powinien być powietrzny, a w TK jawić się jako czarne plamki. Jednak nie tutaj, gdzie wszystko jest jakby zalane mlekiem. Zdjęcia A dotyczy płatów górnych. Natomiast B płatów dolnych. Pokazuje to zajęcie praktycznie całych płuc.
 

Dodatkowo pan pacjent miał jeszcze jeden czynnik permisywny względem toksyczności tlenoterapii – był bardzo źle odżywiony, co zatem idzie można domniemywać, że miał niedobory w witaminach A, C czy E jak i w obrębie pierwiastków typu Cu i Se. Całość obrazu wskazuje na mechanizm śmierci z przyczyny oddechowej.

za zgodą i wsparciem @hitsug

Zostaw komentarz

Twój adres e-mail nie zostanie opublikowany. Wymagane pola są oznaczone *

Koszyk