Śmierć w dwóch krokach

Burzliwie powiększające się węzły chłonne do wielkości mandarynki. Każdy, kto miał przyjemność przejść mononukleozę, świnkę czy anginę paciorkowcową, ten wie, jak dynamiczny jest to proces. Jak to się dzieje, że węzły się powiększają? Obrzęk? Wylew? Nic z tych rzeczy. Węzły chłonne zbudowane są z tkanki limfatycznej, która odpowiada hiperplazją na czynniki obce siedliskowo. To swoisty front walki – miejsce intensywnej proliferacji, ale i śmierci komórkowej, będącej nieodłącznym elementem odpowiedzi immunologicznej. Dodatkowo towarzyszy temu zjawisku ból. Właściwie to czemu te węzły bolą? Widzicie gdzieś na Ryc. A struktury, które choć trochę przypominają włókna nerwowe? Jeżeli nie, to macie rację. Węzły chłonne wypełnione są tkanką, która proliferując pod wpływem cytokin prozapalnych, napina unerwioną torebkę otaczającą węzeł, co sprawia ból.

Preparat histologiczny węzła chłonnego. Śmierć wywodząca się z układu limfatycznego dotyczy chłoniaka Burkitta.
Ryc. A – fizjologiczny obraz węzła chłonnego, gdzie dumnie prezentuje się torebka włóknista, strefa brzeżna i grudki chłonne oraz komórki tłuszczowe.

 

Nasze organizmy każdego dnia stykają się z setkami patogenów, które potencjalnie mogą nam uprzykrzyć życie. Wychodzimy z tych kontaktów obronną ręką. Wszystko dzięki pracy układu immunologicznego. W sytuacji, gdy jesteśmy niekompetentni immunologicznie organizmy, które zwykle sprzyjają jak i również te wrogie stają się tykającą bombą. Łatwo sobie wyobrazić, co się dzieje w przypadku AIDS. Trudniej zaakceptować sytuacje, w której układ immunologiczny może dążyć do naszej śmierci.

Zdarza się, że na SOR przychodzi rodzic z około 10 letnim dzieckiem, które na pozór ma odczynową limfadenopatię. Prawdopodobna przyczyna – mononukleoza. Choroba powszechna, gdzie dobrze pomaga czas i garść leków przeciwbólowych. Problem pojawia się, gdy węzły chłonne powiększają się do takiego rozmiaru, że granica między głową a szyją jest zatarta. Tylko w takiej sytuacji na ogół jest zbyt późno na odpowiednią reakcje.

Zdjęcie dziecka z guzem nowotworowym - chłoniakiem w obrębie oczodołu i żuchwy.
Ryc. B – BL sporadyczny, guz rozwija się w obrębie żuchwy i oczodołu u chłopca.

Patogeneza

 

Chłoniak Burkitta (Burkitt lymphoma, BL) jest najbardziej agresywnym nowotworem z jakim można się aktualnie spotkać. Nie jest przesadą stwierdzenie, że ten nowotwór rośnie w oczach. Dzieje się tak za sprawą gigantycznego indeksu mitotycznego, który sięga 100%, a podwojenie swojej masy osiąga w ciągu 26 godzin (Walewski J., et al., 2009)1. Niczego, co przebiega z taką dynamiką nie można zbagatelizować, gdyż to co rano wygląda na błahą infekcję, wieczorem okazuje się błędem w sztuce. Efektem błędu jest agonalny stan pacjenta. Chłoniak Burkitta zawdzięcza swoje tempo wzrostu uwolnieniu się spod wpływów mechanizmów regulujących cykl komórkowy, o których wspominałem przy okazji retinoblastomy. Dokładniej w patogenezie BL dochodzi do nadekspresji MYC w wyniku przemieszczenia materiału genetycznego między chromosomem 8 i 14. Białko MYC jest zdolne do aktywacji i wyciszania innych genów. Wśród genów, które aktywuje znajdują się te odpowiedzialne za progresje cyklu komórkowego (CDK). Natomiast hamuje te, które opóźniają proliferacje. Dzięki takim właściwością utrata kontroli nad białkiem MYC daje obraz niepohamowanego rozrostu. W historii naturalnej taką proliferacje może skończyć wyłącznie zgon pacjenta (Białopiotrowicz M., et al., 2013)2.

Epidemiologia

 

Chłoniak Burkitta występuje w dwóch formach. Pierwsza z nich jest endemiczna – dotyczy głownie Afryki i jest związana z wirusem Epsteina-Barra (Bocian J., Januszkiewicz-Lewandowska D., 2011)3. Najczęściej przebiega z zajęciem rejonu szczękowo-twarzowego. Druga postać – sporadyczna dotyczy każdego innego rejonu świata. Charakteryzuje się predylekcją do pierścienia Waldeyera i pętli jelitowych. U kobiet dodatkowo zajęciu podlega gruczoł sutkowy jak i do okolica gonadalna. Chorują głownie dzieci między 5-10 rokiem życia. W tej grupie wiekowej chłoniak Burkitta stanowi 30% chłoniaków niehodgkinowskich. Kolejną grupą są młodzi dorośli do lat 30. Ostatni pik zachorowań dotyczy osób starszych.

Zdjęcie dziecka z śmiertelnym chłoniakiem Burkitta.
Ryc. C – BL enedemiczny z wyraźnie uwypulającą powłoki brzuszne zmianą patologiczną.

Zwiastun dramatu – patomorfolog wstaje z krzesła!

 

Nie każda choroba wymaga pilnego działania ze strony patomorfologa. Większość dolegliwości podlega rutynowej diagnostyce, w której za pomocą podstawowych barwień i mikroskopu da się ustalić jednostkę chorobową. Nie dotyczy to dziś prezentowanego nowotworu. Podejrzenie chłoniaka Burkitta elektryzuje i odciska piętno w świadomości, że czas jest decydujący. Rozpoznanie musi być pewne i zostać postawione szybko. Stawką jest życie i to najczęściej dziecka.

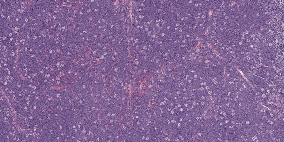
Preparat histopatologiczny węzła chłonnego przedstawiający objaw gwiaździstego nieba. Typowy widok dla śmiercionośnego Chłoniaka Burkitta
Ryc. D – preparat histopatologiczny węzła chłonnego, w którym przy małym powiększeniu uwidocznił się obraz gwiaździstego nieba.

 

Pierwszy dostępny obraz to tradycyjny preparat histopatologiczny H&E. Widać na nim monomorficzną populację komórek o średniej wielkości oraz z zasadochłonną cytoplazmą i regularnym obrysem jąder. W oczy rzuca się obraz gwieździstego nieba, który wynika z obecności makrofagów żernych towarzyszących populacji nowotworowej. Niestety na jego podstawie nie można postawić rozpoznania. Potrzeba większej ilości danych. Uzyskuje się je za pomocą immunofenotypizacji. Dalsze postępowanie obejmuję cytometrię przepływową oraz badania genetyczne. Daje to przesłanki do wyciągnięcia wniosku, że problem pacjenta to chłoniak Burkitta. Całe postępowanie wymaga współpracy między patomorfologami i kliniką. Jeżeli z jakiegoś powodu ta współpraca nie może zaistnieć to dzieje się źle.

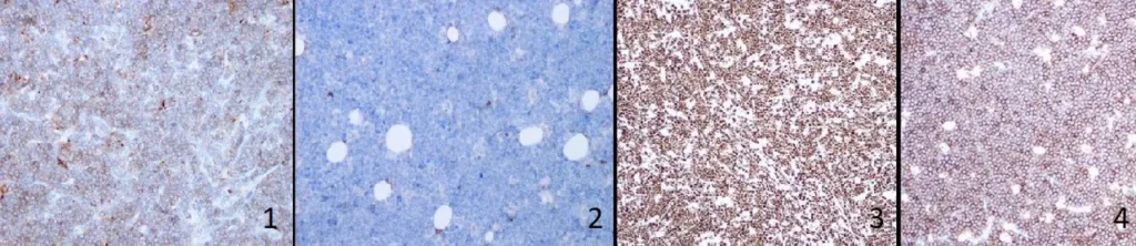
Obraz przedstawiający różne metody barwienia preparatów.
Ryc. E: 1 – barwienie na CD10+ (marker ośrodka rozmnażania). 2 – barwienie na BCL2 negatywne (białko hamujące apoptozę) . 3 – barwienie na ki67 (marker proliferacji komórek). 4 – barwienie na CD20+ (informuje o wywodzeniu się nowotworu z komórek B).

Pierwsze krok – masa

 

Brak kontroli nad cyklem komórkowym daje burzliwie rozwijającą się tkankę nowotworową. Wywiera ona efekt masy na otaczające struktury. Objawy kliniczne wynikają bezpośrednio z zajętej lokalizacji. Jeżeli komórki limfatyczne pierścienia Waldeyera ulegają namnożeniu to zwężanie dróg oddechowych sprawi, że bez konikotomii ratunkowej, pacjenta czeka w krótkim czasie stół sekcyjny. Nie zawsze musi to przebiegać tak spektakularnie. Praktycznie wszystko, co tylko można sobie wyobrazić może zostać zniszczone przez ten proces nowotworowy. Zajęcie centralnego układu nerwowego też jest możliwe zwłaszcza u osób HIV+. Nawet problemy hormonalne mogą wynikać z faktu, że chłoniak zajął jamę miednicy doprowadzając do destrukcji struktury jajników (Roik D., et al., 2011)4. Dodatkowo może podstępnie maskować się pod obrazem nowotworu pierwotnego jajnika kierując postępowanie diagnostyczne na inne tory.

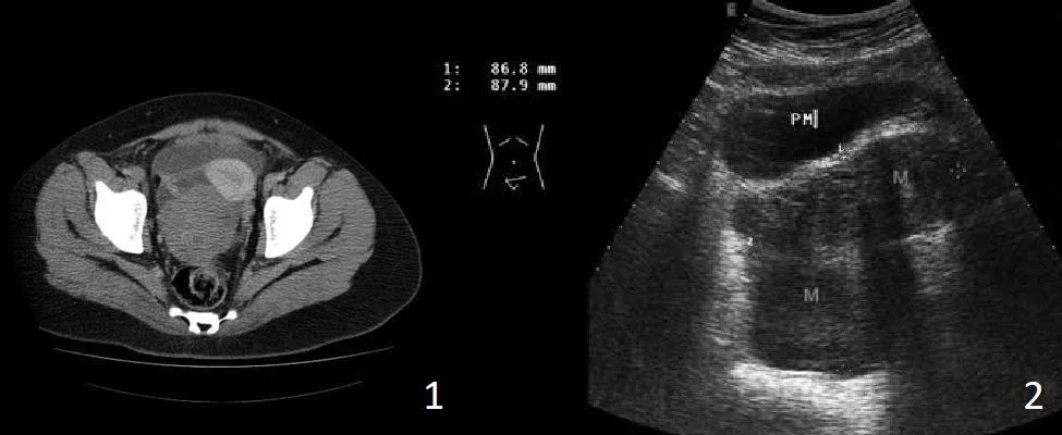
Obraz radiologiczny TK przedstawiający objaw masy.
Ryc. F: 1 – obraz TK, gdzie masy nowotworowe rozwijające się w miednicy przemiszczają za pomocą efektu masy macicę i pęcherz moczowy. 2 – USG, które uwidacznia zajęcie jajników.

Drugi krok – rozpad

 

Jeżeli chłoniak Burkitta nie rozwija się w życiowo istotnych narządach, a ma dobre warunki wzrostu to czynnikiem sprawczym zgonu pacjenta jest zespół rozpadu nowotworu. Komórki nowotworowe ulegając lizie powodują gwałtowny wzrost stężenia potasu, fosforanów i puryn. Zjawisko to prowadzi do ostrej niewydolności nerek, zaburzeń rytmu serca, a w konsekwencji do niewydolności wielonarządowej i ustania funkcji życiowych organizmu.

Leczenie

 

Jak już wspomniałem ustalenie rozpoznania wymaga współpracy i szybkiego czasu działania. Chłoniak Burkitta musi zostać odróżniony od chłoniaków o charakterze pośrednim czy DLBCL. Jeżeli rozpoznanie patologiczne pasuje do obrazu klinicznego to należy wdrożyć chemioterapię ratującą życie. W latach 80 ubiegłego wieku tylko 10-20% pacjentów dało się wyleczyć z chłoniaka Burkitta. Aktualnie dzięki postępowi w dziedzinie leków przeciwnowotworowych udało się uzyskać poprawę wyników leczenia do 70-90% (Walewski J., 2013)5. Dodatkowo przy zastosowaniu optymalnego schematu leczenia nie ma potrzeby obserwacji nawrotu choroby. Dramatyczny przebieg naturalny aktualnie nie jest powodem do trwogi. Wyłącznie pod warunkiem odpowiedniego zabezpieczenia pacjenta. Do tego celu wymagane jest zgromadzenie w jednym ośrodku licznych specjalistów i aparatury zastępującej funkcje życiowe. Jest to konieczne, gdyż zespół rozpadu nowotworu może wystąpić spontanicznie jak i pod wpływem chemioterapii.

za zgodą i wsparciem @hitsug

Zostaw komentarz

Twój adres e-mail nie zostanie opublikowany. Wymagane pola są oznaczone *

Koszyk